Ortodonzia

Ortodonzia invisibile: allineatori trasparenti Sistematica F22 Sweden e Martina

Con orgoglio possiamo affermare di utilizzare un Sistema Ortodontico (Sistema Damon) che permette non solo semplicemente di raddrizzare i denti ma di intervenire migliorando l’aspetto generale del viso e del profilo, riducendo al minimo le estrazioni e la chirurgia ortognatica.

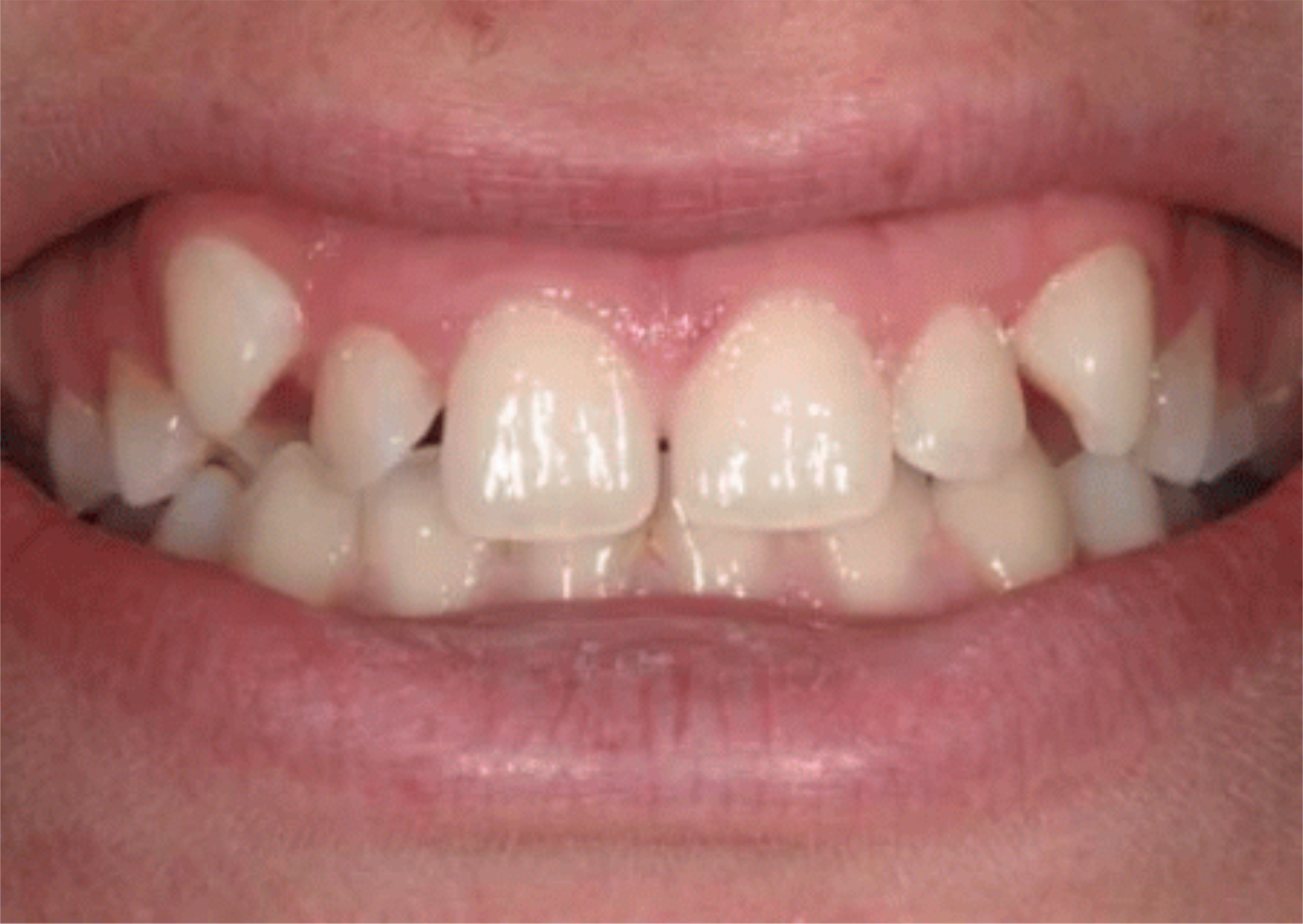
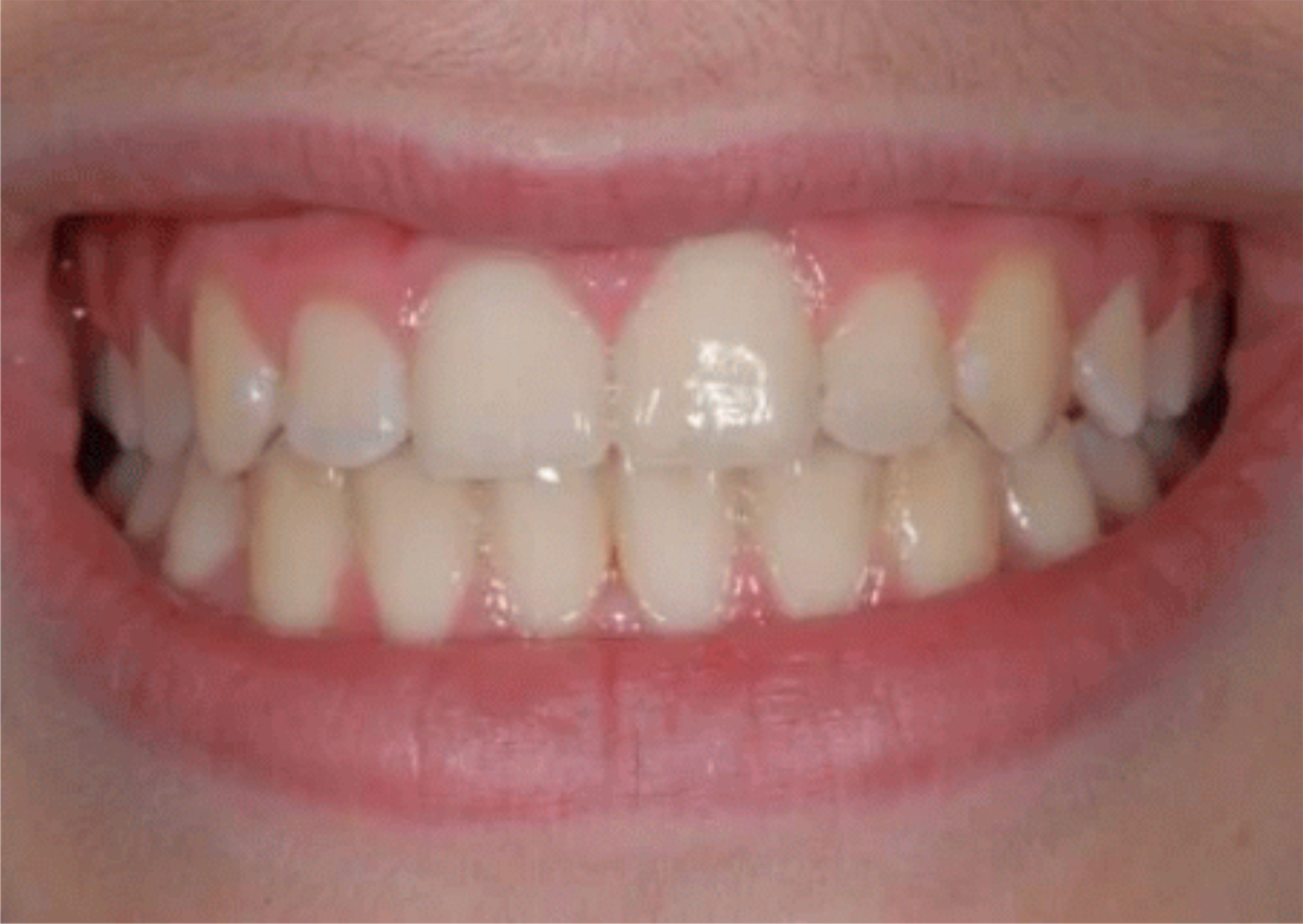
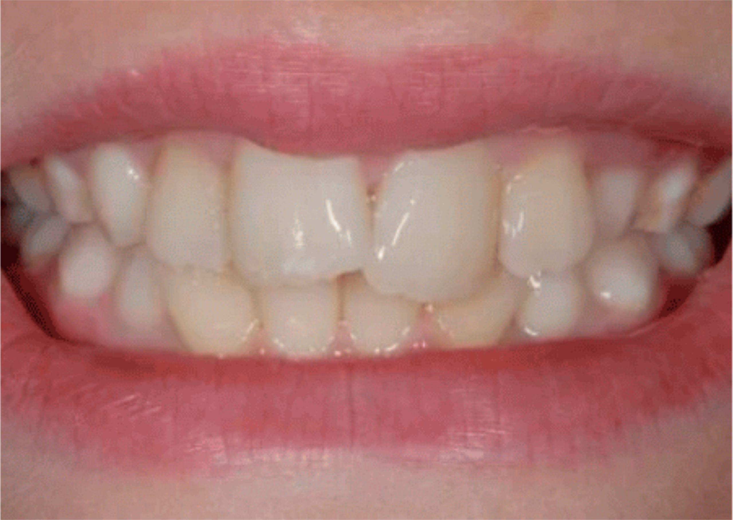
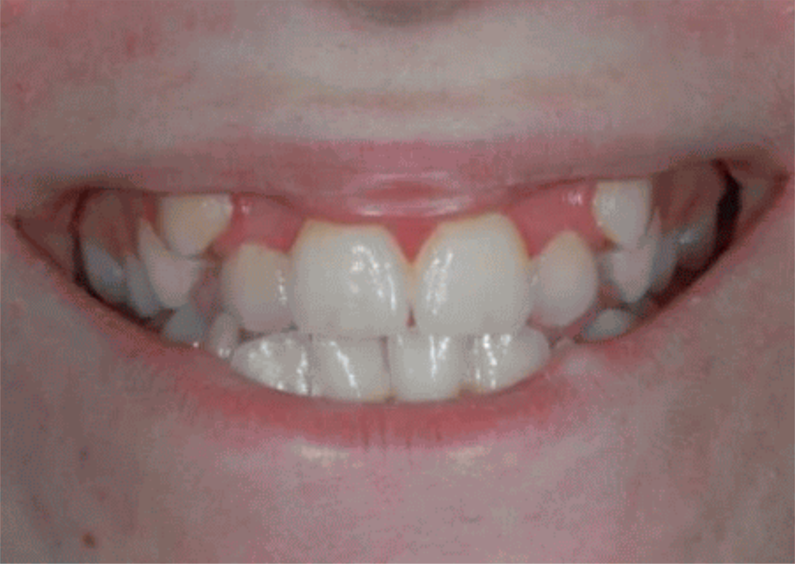
PRIMA

DOPO

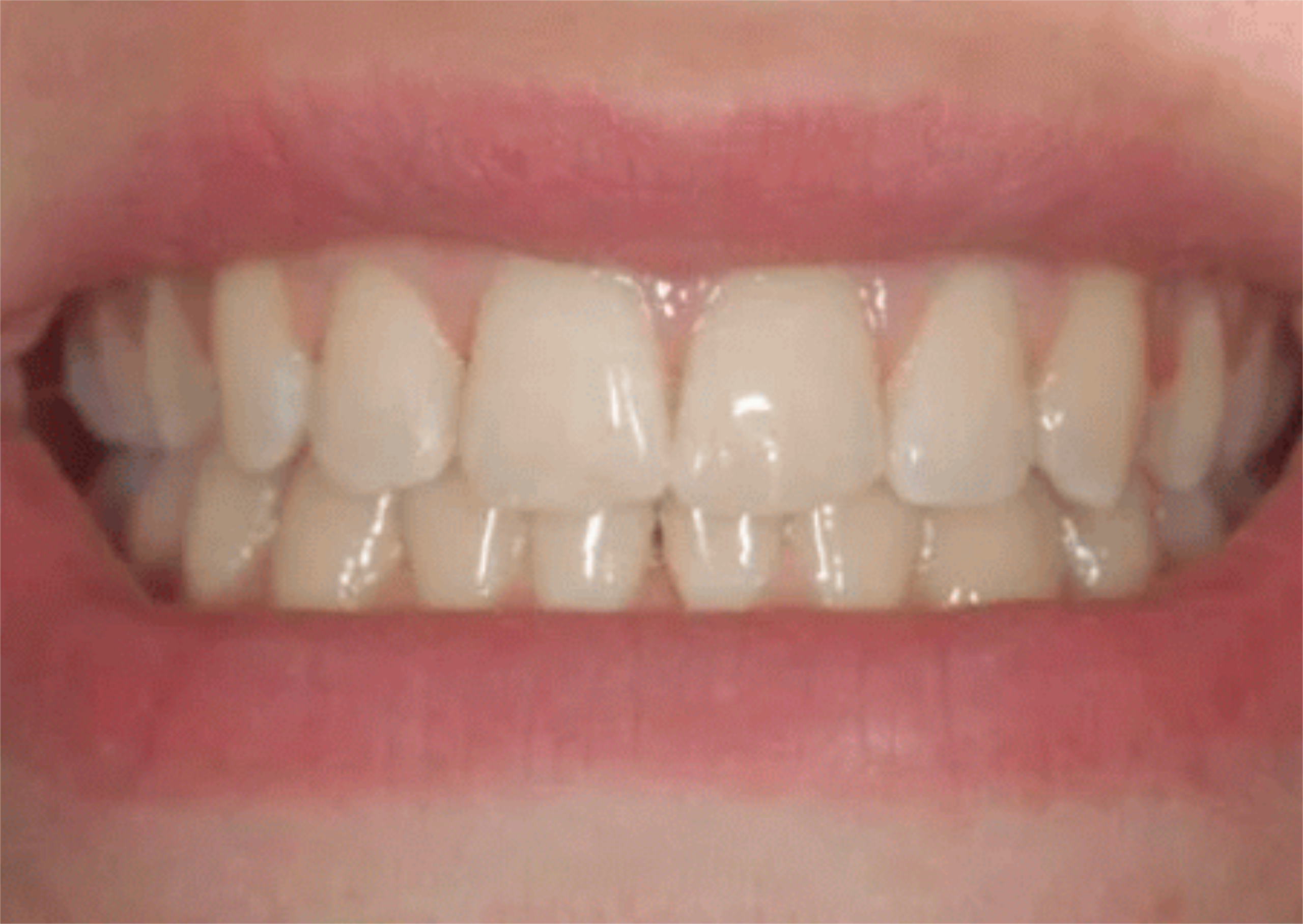
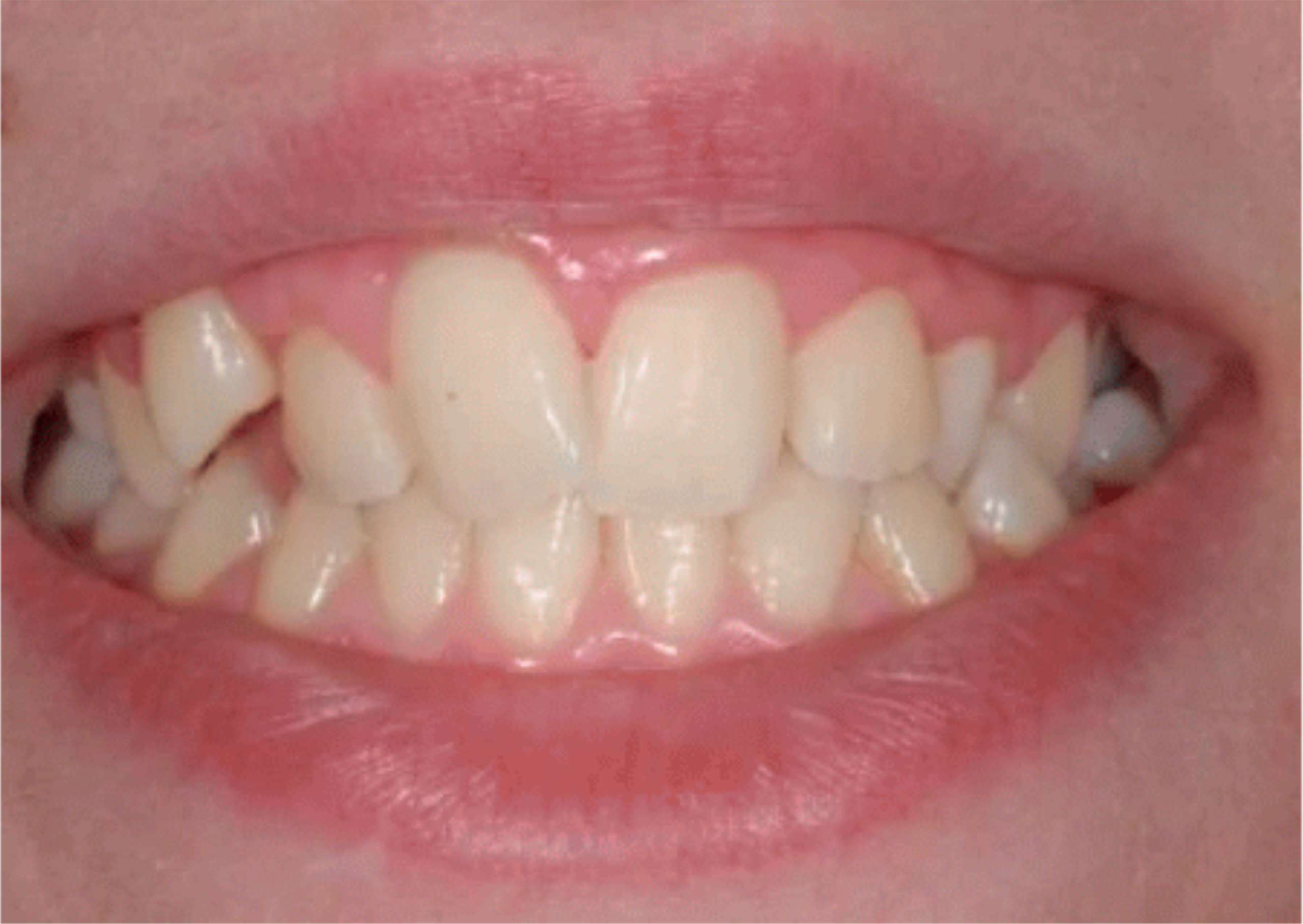
PRIMA

DOPO

PRIMA

DOPO

PRIMA

DOPO

PRIMA

DOPO

PRIMA

DOPO

PRIMA

DOPO

PRIMA

DOPO

PRIMA

DOPO

PRIMA

DOPO

Torna in alto