La parodontologia si occupa dello studio e della cura dei tessuti di sostegno dei denti

TERAPIA

Nel caso la malattia parodontale abbia già causato danni siamo specializzati nella rigenerazione dei tessuti con le tecniche più moderne

Trattamento del sorriso “gengivale”

(Eruzione passiva alterata)

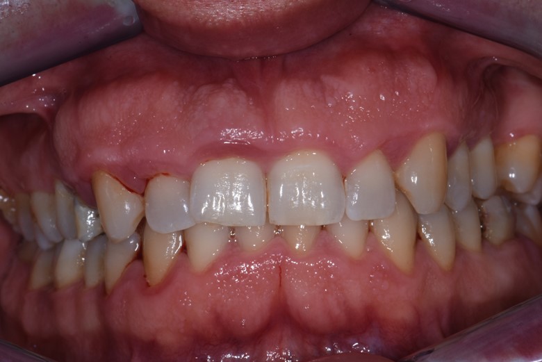
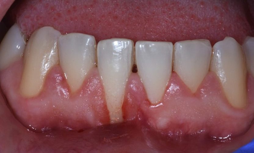
PRIMA

DOPO

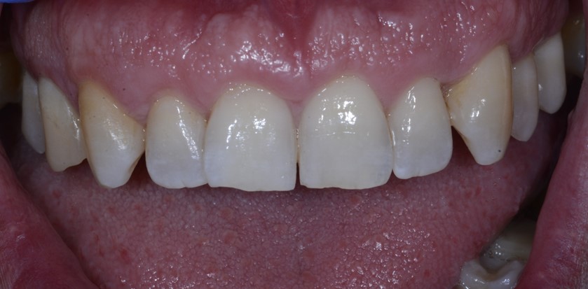
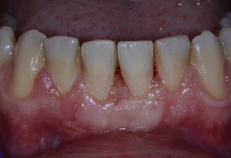
Trattamento della recessione gengivale (con innesto di connettivo)

PRIMA

DOPO

Trattamenti effettuati dalla dott.ssa Veronica Campana