Protesi e Implantologia
Protesi
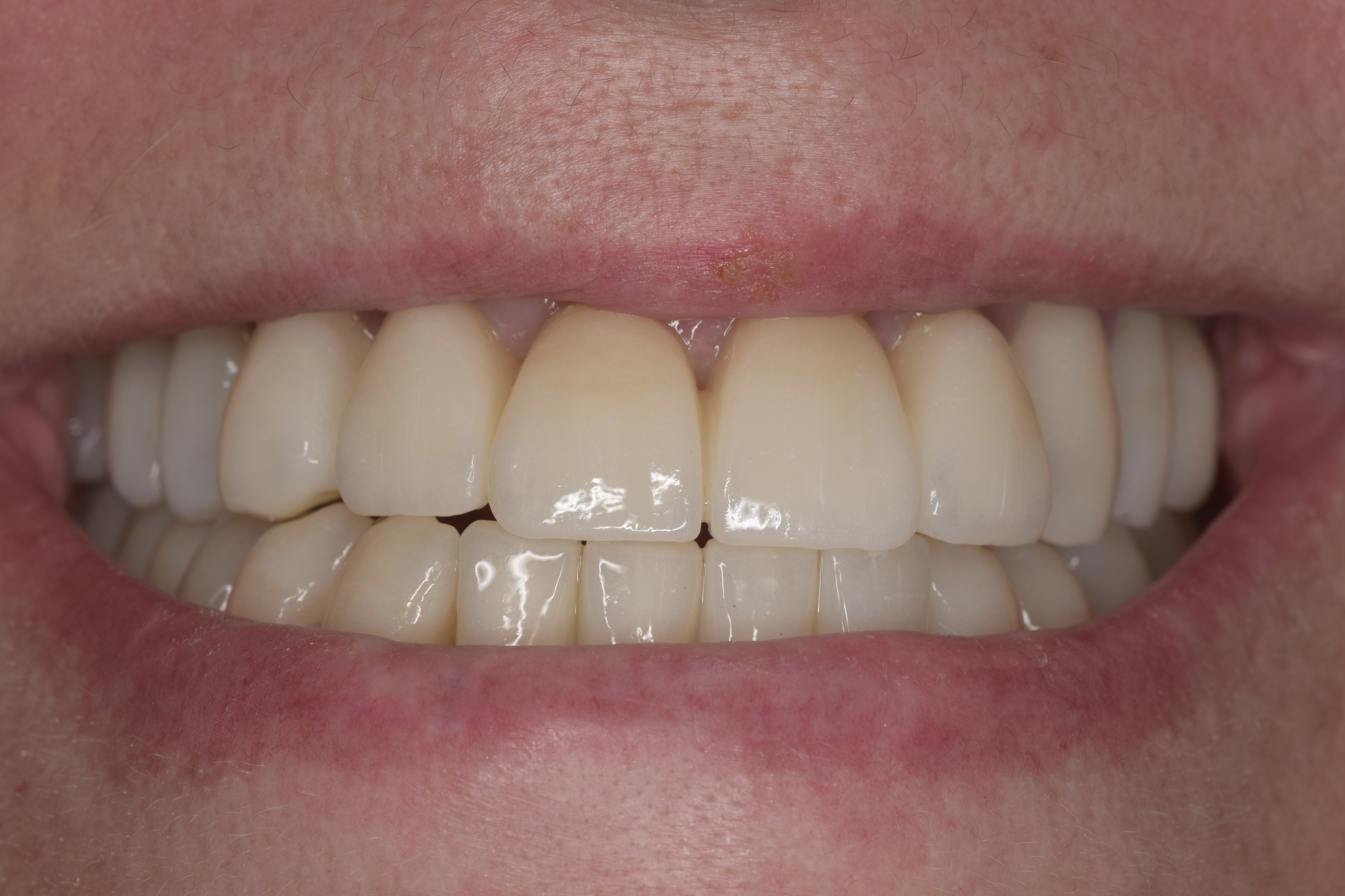
L’odontoiatria protesica si occupa di soddisfare le esigenze del paziente per quanto riguarda l’estetica e il confort masticatorio nelle situazioni in cui è necessario l’ausilio di manufatti prodotti da un laboratorio odontotecnico. I dispositivi sono realizzati grazie ad un complesso lavoro di equipe dove la coordinazione tra studio dentistico e laboratorio odontotecnico è fondamentale e si realizza solo dopo anni di collaborazione e crescita.
Lo studio dentistico dr. Giovanni Cerri collabora con Laboratori odontotecnici specializzati in tecnologie digitalmente supportate capaci di soddisfare tutte le necessità riabilitative dei propri pazienti: dalla Protesi rimovibile a quella fissa supportata da pilastri naturali a quella supportata da Impianti.
Implantologia
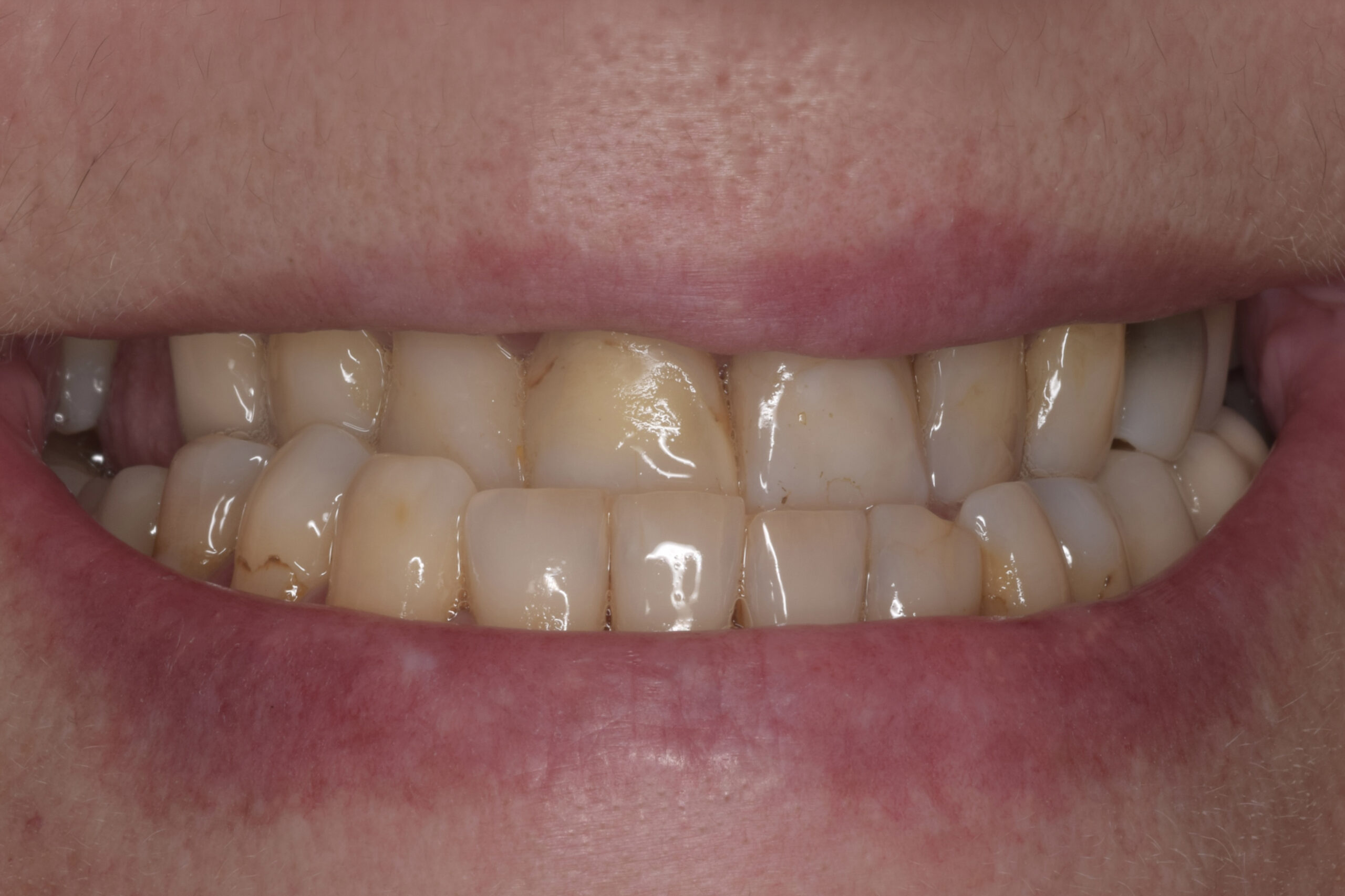
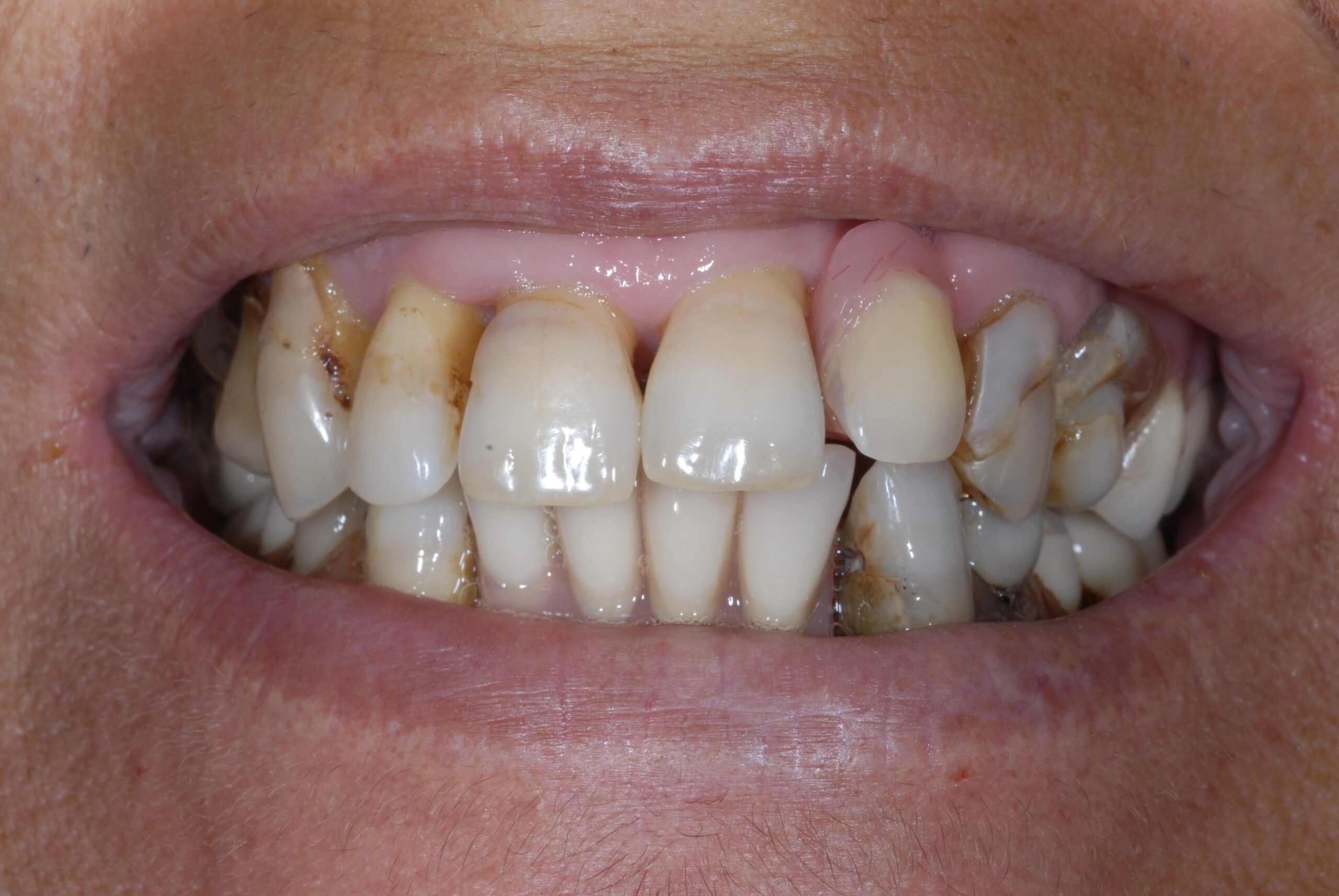
L’implantologia è una tecnica che permette di sostituire gli elementi dentali mancanti inserendo nell’osso una o più viti in titanio, la tecnica chirurgica di inserimento minimamente traumatica e soprattutto la qualità dei materiali con cui sono costruiti gli impianti stessi, sono fondamentali per garantire una lunga durata delle riabilitazioni implanto protesiche, a tal proposito la scelta è da sempre stata indirizzata sulle marche implantari tecnologicamente più avanzate.